10 Problems With Bridges for Teeth and How to Fix Them
Common Issues With Bridges for Teeth and Fixing Them for Long-lasting Oral Health.
Dental bridges for teeth restore missing teeth and improve chewing, but they come with their own challenges. Without proper maintenance, they may lead to discomfort, decay, or long-term complications. Recognizing common problems and applying effective solutions help patients protect their investment and maintain oral health.
A bridge relies on nearby teeth for support. If these teeth have fillings, cracks, or damage, they fail to provide enough stability. Chewing puts pressure on them, which weakens them even more. This often causes the bridge to fail and leads to other dental problems. Under stress, weak teeth may also shift, causing discomfort or misalignment.
Dentists can prevent these problems during the diagnostic and planning stages. They assess whether your existing teeth can support one or two missing teeth in the long term.
In this column, dentists from Westcoast International explore 10 common problems with dental bridges and share expert solutions.
Bridges for Teeth Problems and Solutions
1.Decay Under the Bridge
Dental bridges for teeth often trap food particles and bacteria underneath them. Without proper cleaning, plaque builds up, leading to decay in the underlying teeth. Covered surfaces make it harder to remove bacteria through regular brushing. If left untreated, decay under a bridge causes infections, tooth loss, or the need for a replacement bridge.

How to Prevent or Fix It
- Check for gaps caused by drilling or lab mistakes. Dentists must take an X-ray a few months after placing the bridge to confirm a proper fit.
- Use special tools such as floss threaders, water flossers, and interdental brushes to clean hard-to-reach areas.
- Schedule regular professional cleanings to catch early signs of decay.
- Ask your dentist about fluoride treatments to strengthen enamel and prevent cavities under the bridge.
- Avoid sugary foods and follow a strict oral hygiene routine to reduce the risk of decay.
- Your dentist should redo the bridge if it shows any gaps or fails to fit perfectly. Cavities can form and spread beneath a poorly fitted bridge, and you won’t be able to stop them.
2.Gum Disease Risk
Plaque accumulation around bridges for teeth increases the risk of gum disease. When bacteria irritate the gums, gingivitis develops. Without treatment, it may progress into periodontitis, which weakens the bridge’s foundation. Swollen, bleeding gums or persistent bad breath signal potential gum issues that require prompt attention.
How to Prevent or Fix It
- Daily flossing and proper brushing techniques prevent gum disease.
- Dentists recommend professional cleanings to remove tartar buildup.
- If gum disease develops, deep cleanings, antibiotics, or laser therapy restore gum health.
- Regular dental visits allow for early intervention before gum disease worsens.
- Patients should also avoid smoking, which contributes to gum recession and infection.
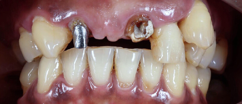
3.A Poor Fit Causes Discomfort
Improperly fitted bridges for teeth will feel uncomfortable. This issue often occurs due to inaccurate impressions or fabrication errors. In some cases, even minor misalignment creates jaw pain or headaches. A poor fit also contributes to uneven pressure distribution, which may damage surrounding teeth over time.
How to Prevent or Fix It
- Dentists make adjustments to improve the bridge’s fit. If discomfort persists, a new bridge may be necessary.
- Digital scans provide more precise measurements, reducing the risk of misalignment.
- Patients should report any discomfort early so the dentist can correct the issue before it leads to further complications.
4.Bridges Can Break or Crack
Although durable, bridges for teeth still break under excessive pressure. Biting hard foods, using teeth as tools, or grinding teeth weakens the material. Once cracked, a bridge no longer distributes pressure evenly, putting stress on the surrounding teeth. A damaged bridge may also trap food particles, increasing the risk of decay and infection.
How to Prevent or Fix It
- Patients should avoid chewing ice, hard candies, or non-food objects.
- A night guard protects the bridge from grinding damage.
- When a crack appears, dentists assess whether repairs will work. If the damage is too severe, they replace the bridge.
- Routine dental checkups help detect early signs of wear before significant damage occurs.
5.Speech Changes
A new bridge alters airflow in the mouth, causing temporary speech difficulties. Some patients develop a lisp or struggle with pronunciation when wearing bridges for teeth. Over time, the tongue adjusts to the bridge’s shape. Speaking challenges often frustrate patients, but consistent practice speeds up adaptation.
How to Prevent or Fix It
- Dentists use a temporary PMMA bridge to test speech before finalizing the fit. They keep adjusting it until speech sounds clear.
- Practicing speech exercises helps retrain the tongue. Reading aloud and exaggerating word pronunciation improves clarity.
- If speech problems persist, the dentist can make small adjustments to the bridge’s shape.
- Patients should remain patient and practice speaking regularly until their tongue adapts.
6.Bridges Feel Unnatural at First
Many patients notice an unfamiliar sensation when first wearing a bridge. Increased salivation or mild irritation commonly occurs. The tongue and soft tissues need time to adjust, which may create temporary discomfort. Some patients also experience a slight change in bite sensation.
How to Prevent or Fix It
- Chewing slowly and speaking frequently help the mouth adapt.
- If discomfort continues after a few weeks, the dentist may refine the bridge’s shape.
- Eating softer foods initially and avoiding extreme temperatures may ease the transition.
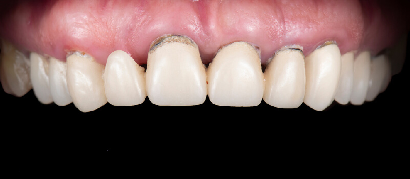
7.Limited Lifespan
Bridges for teeth wear out over time. On average, they need replacement every 10 to 15 years. Changes in bite alignment, natural aging, and regular chewing affect their durability. Poor oral hygiene and excessive force shorten their lifespan further.
How to Prevent or Fix It
- Proper oral hygiene and routine dental checkups extend a bridge’s lifespan.
- Avoiding excessive force, such as chewing very hard foods, prevents premature damage.
- Some patients switch to dental implants for a longer-lasting alternative.
8.Bone Loss Over Time
Bridges fail to stimulate the jawbone beneath a missing tooth. Without stimulation, the bone shrinks. This process affects facial structure and oral health. Over time, significant bone loss may cause early tooth loss.
How to Prevent or Fix It
- Reduce pressure on the bridge by making precise adjustments to its fit.
- Place dental implants to share the load if other teeth are missing.
- Wear a nightguard to protect against clenching or grinding while you sleep.
- Patients who want long-term prevention should consider dental implants. Implants provide direct stimulation to the jawbone, keeping it strong.
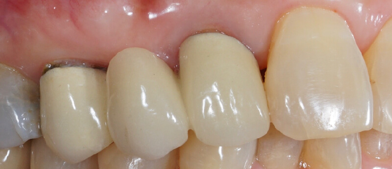
9.Bridges Can Feel Loose
Properly fitted bridges for teeth should feel secure. Over time, however, the cement holding it in place may weaken. Shifting teeth or gum recession also contribute to instability. A loose bridge allows food particles to collect underneath, increasing the risk of irritation, decay, and infection.
How to Prevent or Fix It
- Dentists can re-cement a loose bridge if caught early.
- Your dentist can use stronger bonding methods to help the bridge stay in place.
- If the bridge keeps coming loose, your dentist can reshape the supporting teeth to improve the fit.
- If gum disease or shifting teeth cause instability, additional treatment may be necessary before reattaching the bridge.
- You should seek immediate care to prevent further complications.
10.Allergic Reactions to Bridge Materials
Some patients react to the metals used in traditional bridges. Symptoms include gum irritation, swelling, or general discomfort. Those with metal allergies should consider alternative materials to avoid long-term irritation.
How to Prevent or Fix It
- Choose zirconia or porcelain bridges to avoid allergic reactions.
- Tell your dentist about any sensitivities before selecting a bridge material.
- Avoid metals, especially nickel, if you have a history of allergies.
- Consider gold as an option during your consultation.
- Pick the right material to prevent long-term discomfort.








